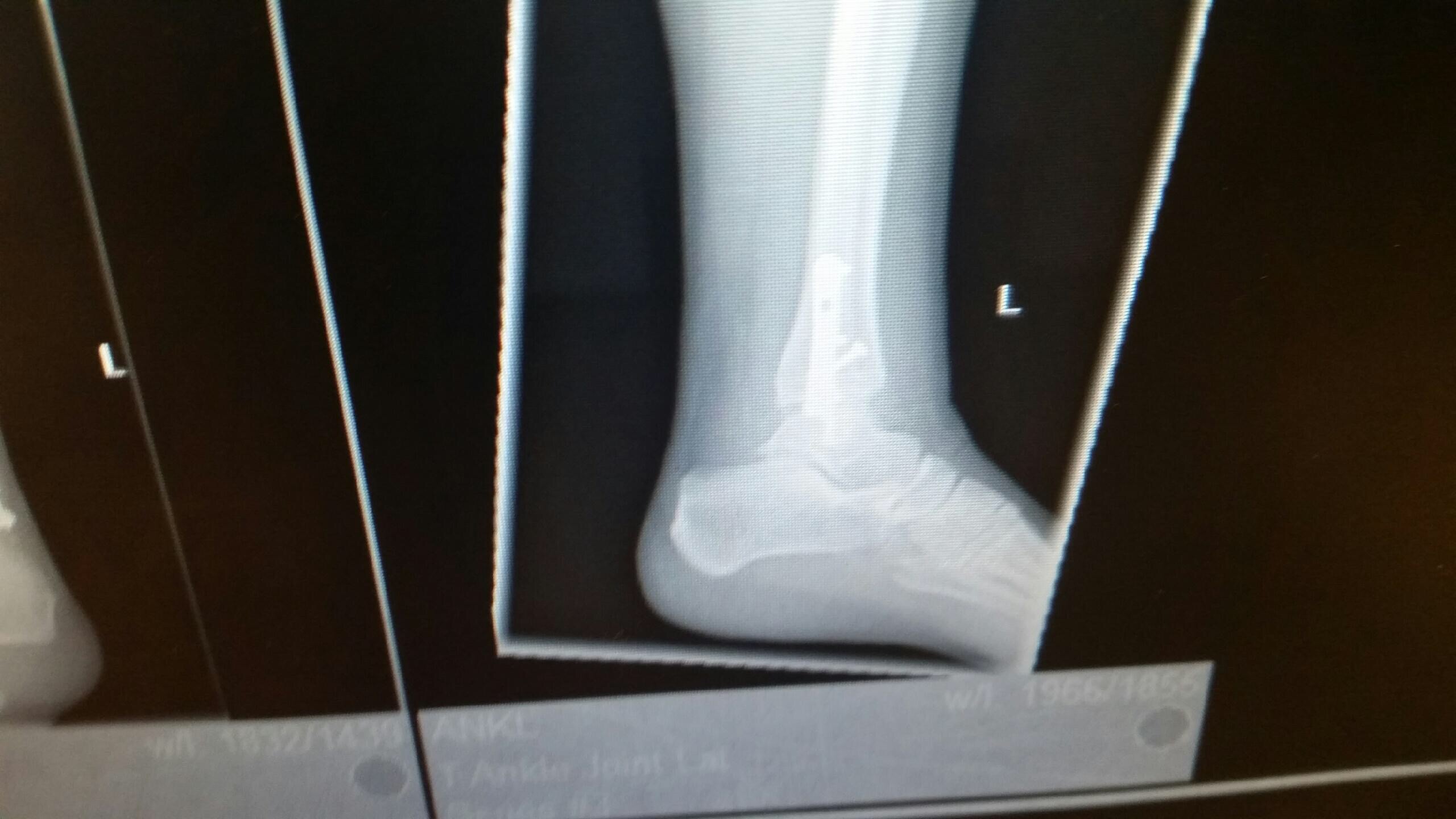
The cast is off! I can’t walk on my ankle for two more weeks, but I can move it a bit. The stitches were removed and I can get the incisions wet and everything! There were twelve stitches on the outside and six on the inside of my ankle. The swelling and bruising isn’t as bad as I thought it would be. It’s kind of scary to have this unprotected ankle, but encouraging to see how much I can move it. I feel like I’m really making progress.
- One girl, three boys and a house in beautiful Orange County, CA. Join us for some adventures, crafts, recipes, and lots of photos.
Us

Search my blog:
What would you like to read today?
Categories





